ectopic tooth
-
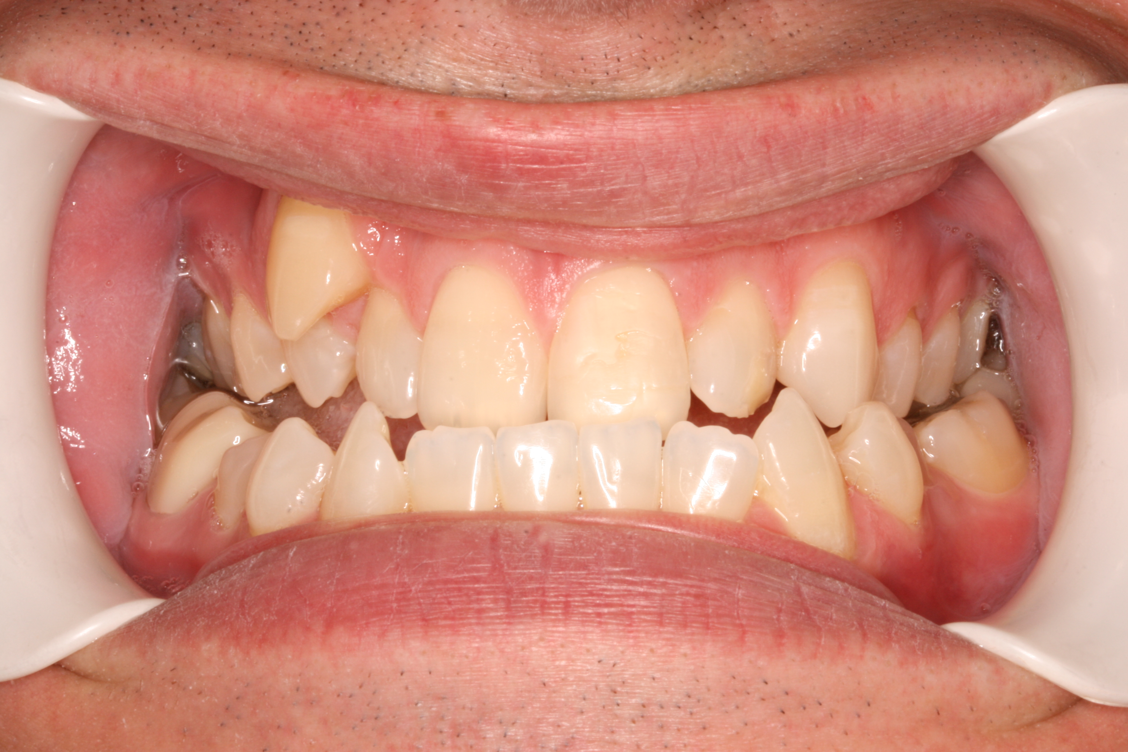
Smile Makeover for an Ectopic Tooth in Austin, TX

When a tooth erupts out of its normal position, it can affect both the appearance and function of your smile. Known as an ectopic tooth, this condition can create challenges ranging from crowding to an uneven smile line. Fortunately, modern cosmetic dentistry offers solutions that are minimally invasive and highly effective. In Austin, TX, Dr.…
